 
Laboratoř zárodečných buněk
Společenská relevance
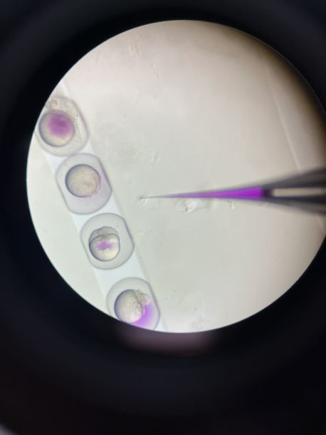
V laboratoři vznikají technologie, které mohou zachraňovat ohrožené druhy ryb a měnit budoucnost akvakultury. Tým Laboratoře zárodečných buněk zkoumá, jak vznikají a fungují buňky, ze kterých se tvoří gamety – základ nového života. Pomocí metod, jako jsou transplantace zárodečných buněk, kultivace in vitro nebo genová editace, otevírá vědcům i chovatelům nové možnosti práce s vodními organismy.
Jedním z hlavních cílů laboratoře je záchrana ohrožených druhů, především jeseterů. Díky takzvané náhradní reprodukci dokážou vědci přenést zárodečné buňky ohroženého druhu do příbuzného, rychleji dospívajícího hostitele – který pak produkuje gamety původního druhu. To umožňuje obnovit populace ryb, které z přírody téměř vymizely.
Výzkum má však i praktický přínos pro akvakulturu. Moderní biotechnologie mohou zefektivnit chov ryb, zlepšit šlechtění a přispět k větší potravinové bezpečnosti.
Neméně důležité je uchování genetického bohatství. Laboratoř vyvíjí metody kryokonzervace zárodečných buněk, které umožní dlouhodobé uchování cenných genetických linií pro budoucí generace.
Tým se aktivně podílí také na vzdělávání mladých vědců a mezinárodní spolupráci a dbá na bezpečné a zodpovědné využívání biotechnologií v ochraně přírody i v produkci potravin.
